Skip to main content

Patient Results

Orthodontic treatment is about more than straightening teeth, it’s about creating healthy, confident smiles that last a lifetime. At Harmony Orthodontics, we see firsthand how a well-aligned smile can improve oral health, enhance function, and boost self-esteem at every age. As patients watch their smiles transform, they often gain a renewed sense of confidence that carries into school, work, and everyday interactions. Our goal is to provide personalized orthodontic care that helps each patient feel proud of their smile and confident in themselves.

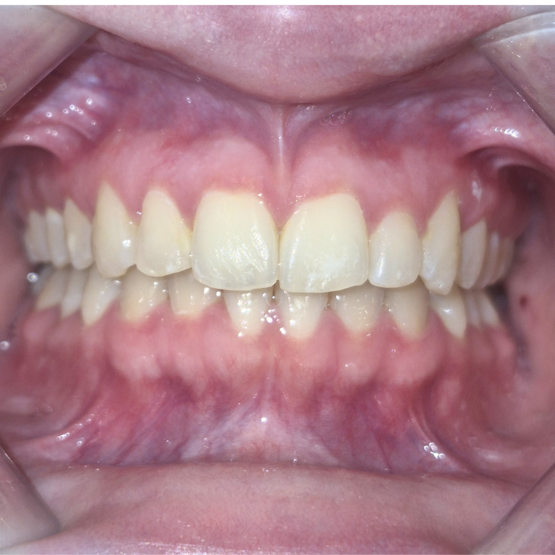
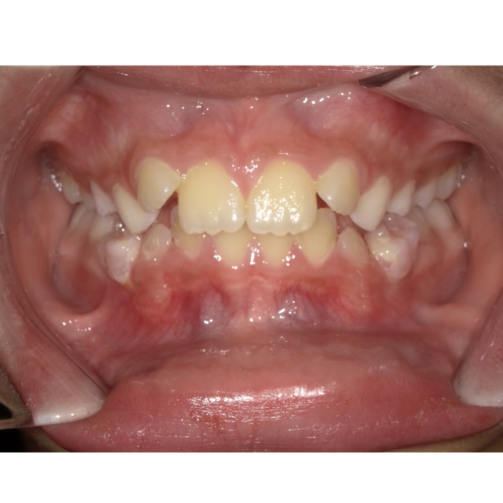
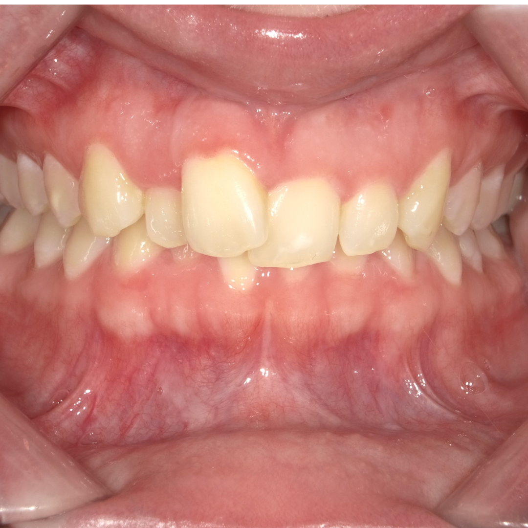
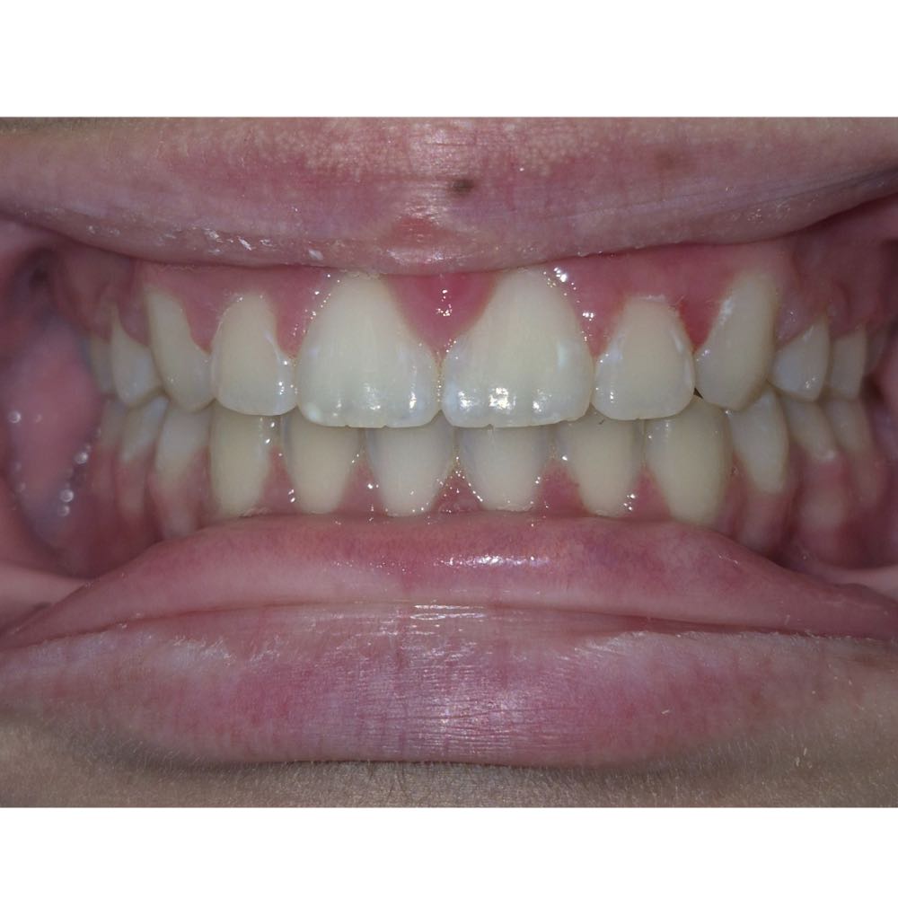
Slide between the before and after photos below to see our results.

Smiling woman with hoop earrings and pink hair highlights Smiling woman with curly hair against a blue background
Close-up of a smiling person showing teeth Close-up of a healthy smile showing teeth and gums
Young woman smiling against blue background Young woman smiling with braided hair against blue background
Close-up of a healthy human mouth open showing teeth Close-up of a healthy human smile showing teeth
Young woman with blonde hair smiling, teal background Young blonde woman smiling against turquoise background
Close-up of child's teeth showing dental health Close-up of healthy teeth in an open mouth
Young girl smiling with black hair accessory Young woman smiling against teal background
Close-up of child's teeth showing early dental development Close-up of a healthy human smile showing teeth
Smiling young man with curly hair against blue background Smiling young man with brown hair
Close-up of child's open mouth showing teeth Close-up view of human teeth showing dental health

Schedule Your Free Orthodontic Exam

At Harmony Orthodontics, treatment is unique for every one of our patients. During a free oral examination, we will take a 3D scan of your teeth and show you exactly how orthodontic treatment can improve your bite, oral health, and the appearance of your smile.

REQUEST YOUR APPOINTMENT